BBC HomeExplore the BBC
This page has been archived and is no longer updated. Find out more about page archiving.


Accessibility help
Text only
BBC Homepage
BBC Radio
Woman's Hour - Weekdays 10-11am, Saturdays 4-5pm
Listen online to Radio 4


Contact Us

Like this page?
Send it to a friend!

healtharchive
Secondary exposure to asbestos02 November 2004
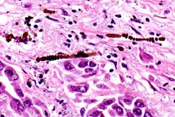
Microscopic thin section showing lung tissue with asbestosis, mesothelioma
Exposure to asbestos in the workplace has been recognised as a danger since 1955

But there has also been a steady stream of cases that show risk also extended to the home.

Wives who washed their husband's dusty overalls and children who helped are being diagnosed with the asbestos linked mesothelioma, a cancerous tumour that attacks the lung lining.

We hear from Jean Gibbs who has mesothelioma and Jenni is joined byJenni Liz Darlison, who runs the National Mesothelioma Information Centre and solicitor Anthony Coombes to discuss secondary exposure to asbestos - which, up to 60 years later, can turn out to be lethal.

For more information call the BBC Actionline 0800 044 044

The National Macmillan Mesothelioma Resource Centre: freephone 0800 169 2409


Disclaimer
The BBC is not responsible for the content of external websites.
Recent items about Health
18 March 2010: DIY smear tests
08 March 2010: Personality Disorders
More items in the Health Archive
Listen
Listen now to the latest Woman's Hour
Listen Now
Latest programme
Listen again to previous programmes
Listen Again
Previous programmes

Retired? Downsizing? Moving home to be nearer the kids?

We'd like to hear your stories about moving house

Image: Find out how more about the Woman's Hour podcast
Podcast
More about Woman's Hour podcasts
News image




About the BBC | Help | Terms of Use | Privacy & Cookies Policy